无处不在的“修仙党”们,小心这个病!
一时熬夜一时爽,一直熬夜“火葬场”

作息不规律、经常通宵的L先生
这次,没想到疾病找上了他!
近5天反复高热40℃
去社康医院查了甲流、乙流、新冠、支原体均阴性,究竟是什么原因呢?
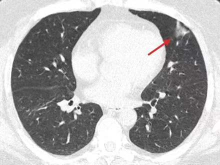
L先生焦急的来到taptap点点在哪注册感染科,关瀛医生接诊后,查指脉氧只有92%,急查血气分析:氧分压62mmHg,严重低氧血症!立即氧疗,加强监护,同时急查胸部CT检查,提示双肺散在斑片浸润影。
抽血提示淋巴细胞百分数53.3%,反应性淋巴细胞10%,ALT 65U/L AST 84U/L,感染性疾病科庄鹏主任查房指示该患者异淋明显升高,有传染性单核细胞增多症样症状,肺部见斑片状磨玻璃影改变,同时肝功异常,需警惕EBV或CMV感染,进一步检查变虽未见EB病毒及其他病原体感染证据,但发现巨细胞病毒IgM抗体阳性,核酸(HCMV-DNA) 1.28E+05!且按肺炎抗感染治但疗3天患者仍有反复发热,考虑患者巨细胞病毒感染。立即予激素、更昔洛韦抗病毒治疗。经过系统治疗,L先生病情很快好转。呼吸感染科联合党支部书记陈小可主任查房,指出患者显著缺氧,胸部CT影像符合病毒性肺炎,未发现其他病原菌,抗病毒治疗有效,考虑并发巨细胞病毒肺炎,
高发于在免疫缺陷人群中的巨细胞病毒肺炎,竟然也会出现在无免疫缺陷的人群中?
免疫功能正常的患者,急性感染CMV后,仅10%的个体可出现临床表现,如传染性单核细胞增多症样症状,且症状较轻微,极少可有脑炎、肺炎的表现。L先生虽然平时身体还好,无免疫缺陷相关疾病,不过集肥胖、劳累、熬夜、饮酒于一身,导致免疫功能薄弱,这才让巨细胞病毒有机可乘!

成人巨细胞病毒肺炎与临床常见的细菌性肺炎在症状、体征和影像学检查等方面表现相似,临床难以鉴别,误用抗生素治疗会加重甚至延误病情,本病得不到及时治疗,可继发全身感染甚至并发多脏器衰竭,危及患者生命。

如果人体的昼夜节律被打乱,可导致人体代谢节律性发生紊乱,会导致体重增加而肥胖
过度劳累熬夜,让身体一直处于消耗状态,可能引起免疫器官和细胞早衰、免疫功能紊乱,引起主要器官和系统失衡,免疫力会逐渐变弱,从而导致疾病的发生。

生物钟的存在被证明后,它对人体健康的重要性也就凸显了出来!科学家表示,人类生物钟紊乱会引发很多问题,举个最常见的例子就是倒时差。每天睡眠时间充足才能给脑细胞和心血管以足够的供血和供氧,才能保证机体内分泌代谢正常,并有助于提高免疫力。
一.尽量保持学习、工作和生活的节律,不能经常熬夜或者频繁倒时差。如果,需要熬夜或者跨时区旅行,那么,每次打破生活规律以后,应该安排一段时间进行休息和调整。
二.对于各种原因导致的失眠或者其他自身因素引起的生活不规律,可以通过适当的身体锻炼或者安排适当比例的脑力劳动来进行调节。
三.进行一定的膳食调节和营养补充。
巨细胞病毒到底是何方神圣?
巨细胞病毒(CMV)是一种疱疹病毒组DNA病毒,由于感染的细胞肿大,并具有巨大的核内包涵体,故称之为巨细胞病毒。CMV感染通常表现为隐性感染,若引发明显的病理改变,出现相应的临床症状,则称为巨细胞病毒病(CMV病)。CMV病主要见于免疫缺陷患者如器官及骨髓移植、人免疫缺陷病毒(HIV)感染、肿瘤、妊娠及应用免疫抑制剂等人群。

巨细胞病毒性肺炎(cytomegalovirus pneumonia)是由于感染巨细胞病毒而引起的肺部炎症。在婴儿或免疫功能低下者,可引起严重的肺部感染而导致死亡。临床表现为发热、咳嗽、呼吸困难,胸部X线表现为间质性改变。CMV肺炎的诊断较为困难,主要依靠临床症状、影像学改变和病理结果(肺组织或细胞中见CMV包涵体),同时需排除其他常见病原体感染。
传播途径
巨细胞病毒可通过唾液、血液、尿液、精液和母乳等体液在人与人之间传播。它还可以通过器官移植、输血以及在怀孕或分娩期间由母亲传给婴儿。此外,巨细胞病毒可以通过与病毒携带者的密切接触传播,如接吻、共用餐具或牙刷以及性交。
症状
大多数感染巨细胞病毒的人没有任何症状。然而,免疫系统薄弱的人,如艾滋病毒/艾滋病患者、癌症患者或接受过器官移植的人,出现症状的风险更大。巨细胞病毒的症状可能因受累器官的不同而有所不同,但一些常见症状包括:疲劳、发热、咽喉痛、腺体肿胀、肌肉疼痛、食欲不振、黄疸(皮肤和眼睛发黄)腹泻、视力问题、神经症状(如癫痫发作、意识错乱和昏迷)肺部 CMV 感染严重程度各异。轻度肺部感染可能未被发现而自行缓解 ,严重感染可出现低氧血症、呼吸衰竭。当低氧血症的程度与影像学表现不一致时,应警惕 CMV 肺部感染。
治疗
首选更昔洛韦,更昔洛韦(GCV)为第一个通过美国食品药品监督管理局(FDA)认证的抗CMV药物,通过进入CMV感染的细胞以后,竞争性抑制病毒DNA聚合酶,并可替换dGTP掺入新合成病毒DNA链而终止其延长,从而达到抑制病毒作用。糖皮质激素糖皮质激素具有抗炎、抗休克等作用,适用于伴低氧血症的巨细胞病毒性肺炎,尤其是疾病早期患者。
预防
- 养成良好的卫生习惯,例如经常用肥皂和水洗手,特别是在接触体液后。
- 避免与巨细胞病毒感染者或有感染风险的人密切接触。
- 在性行为中使用安全套以降低传播风险。
- 避免共用餐具、牙刷和其他可能传播病毒的个人物品。在
- 接受器官移植或输血之前接受巨细胞病毒检测。
- 对于孕妇来说,预防CMV感染尤为重要。如果孕妇感染巨细胞病毒,就有可能将病毒传给发育中的胎儿,从而导致严重的健康问题。孕妇可通过以下方式降低感染巨细胞病毒的风险:经常用肥皂和水洗手,特别是在与幼儿或其他可能携带病毒的人接触后。避免与幼儿密切接触,特别是在日托或学龄前环境中的儿童。不与年幼的孩子分享食物、饮料或用具实行安全性行为以降低从伴侣传播的风险。
